TMJ Treatment in Cedar Park, TX

Understanding TMJ Disorders and the Importance of Treatment
Temporomandibular Joint (TMJ) disorders can cause chronic pain, jaw stiffness, jaw locking, and difficulty chewing or speaking. The TMJ is the hinge that connects your jaw to your skull, allowing for movement in everyday functions like eating and talking. When this joint is misaligned or strained, it can lead to discomfort, clicking or popping sounds, and even headaches.
At Mosaic Prosthodontics and Esthetic Dentistry, Dr. Kaveh Azarnoush specializes in diagnosing and treating TMJ disorders to restore comfort and functionality. Our customized treatment plans focus on minimizing pain, correcting bite alignment, and improving jaw movement to enhance your overall quality of life.
What Is TMJ Disorder?
TMJ disorder (TMD) refers to a range of conditions that affect the jaw joint and surrounding muscles, leading to symptoms such as:
- Jaw pain or tenderness
- Clicking or popping sounds when opening or closing the mouth
- Difficulty chewing or biting
- Locking of the jaw in an open or closed position
- Frequent headaches or earaches
- Facial pain or soreness
- Neck and shoulder tension
If left untreated, TMD can lead to worsening pain, tooth damage from grinding, and restricted jaw movement. Early intervention is key to preventing long-term complications.
TMJ Treatment Options
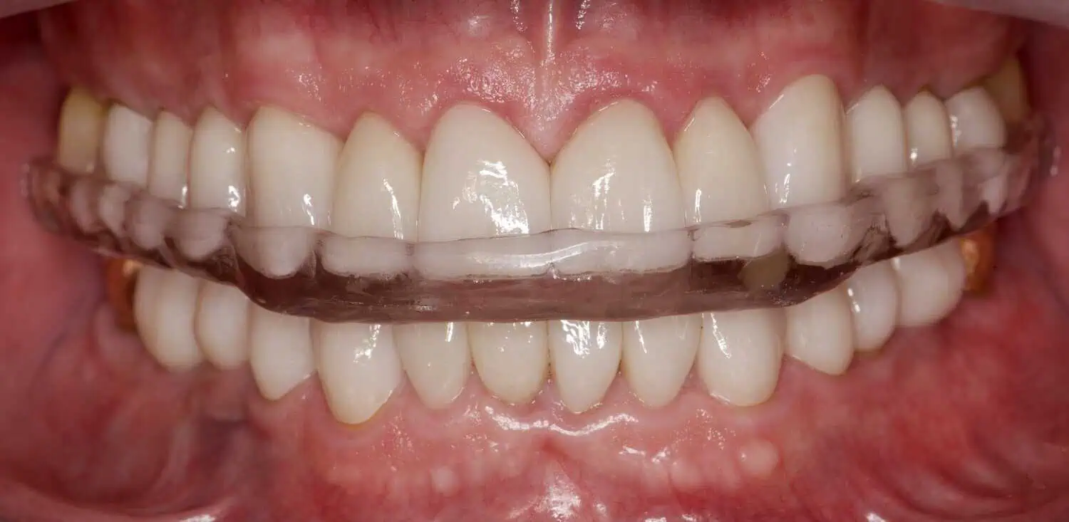
Custom Night Guards and Occlusal Appliances
- Designed to prevent teeth grinding (bruxism) and reduce strain on the TMJ.
- Worn at night or during the day to correct misalignment and relieve tension.
- Helps minimize headaches, jaw soreness, and tooth wear.
Bite Adjustments (Occlusal Equilibration)
- Gradual reshaping of the teeth’s biting surfaces to improve jaw alignment.
- Reduces uneven pressure on the TMJ, preventing excessive stress.
- Beneficial for patients experiencing chronic clenching or misaligned bites.
Physical Therapy and Jaw Exercises
- Targeted stretching and strengthening exercises to improve jaw mobility.
- Helps relieve muscle tension and reduce pain.
- Can be combined with other treatments for enhanced results.
Joint surgery
Dr. Kaveh Azarnoush collaborates closely with experienced surgeons to evaluate whether TMJ surgery is appropriate. In cases where indicated, surgical intervention may be recommended to reposition the joint disc, alleviate pain, and restore proper function.
Frequently Asked Questions About TMJ Treatment
What is involved in diagnosing TMJ disorder?
Our diagnostic process begins with advanced digital imaging and 3D scans to precisely assess the position of your jaw joints. We also perform a comprehensive bite analysis and review your medical history and symptoms to ensure we identify the root cause and determine the most effective treatment path.
How is the TMJ treatment plan customized for each patient?
Every patient’s condition is unique, which is why we create a tailored treatment plan. Depending on your needs, this may include a custom night guard, bite correction therapy, or physical therapy. We also build in follow-up visits to adjust your treatment as your condition improves.
Will I need to make lifestyle changes during treatment?
Yes, some lifestyle adjustments can greatly improve your results. We offer practical guidance on habits, posture, and exercises that support jaw health. These small changes, paired with your treatment plan, help maintain long-term comfort and function.
How do you ensure my treatment stays effective over time?
We schedule regular check-ins to monitor your progress and make any necessary changes to your appliances or therapy. Our ongoing support ensures that your treatment adapts to your needs and delivers lasting relief from TMJ discomfort.
Lorem ipsum dolor sit amet, consectetur adipiscing elit. Suspendisse varius enim in eros elementum tristique. Duis cursus, mi quis viverra ornare, eros dolor interdum nulla, ut commodo diam libero vitae erat. Aenean faucibus nibh et justo cursus id rutrum lorem imperdiet. Nunc ut sem vitae risus tristique posuere.
Lorem ipsum dolor sit amet, consectetur adipiscing elit. Suspendisse varius enim in eros elementum tristique. Duis cursus, mi quis viverra ornare, eros dolor interdum nulla, ut commodo diam libero vitae erat. Aenean faucibus nibh et justo cursus id rutrum lorem imperdiet. Nunc ut sem vitae risus tristique posuere.
Lorem ipsum dolor sit amet, consectetur adipiscing elit. Suspendisse varius enim in eros elementum tristique. Duis cursus, mi quis viverra ornare, eros dolor interdum nulla, ut commodo diam libero vitae erat. Aenean faucibus nibh et justo cursus id rutrum lorem imperdiet. Nunc ut sem vitae risus tristique posuere.
Lorem ipsum dolor sit amet, consectetur adipiscing elit. Suspendisse varius enim in eros elementum tristique. Duis cursus, mi quis viverra ornare, eros dolor interdum nulla, ut commodo diam libero vitae erat. Aenean faucibus nibh et justo cursus id rutrum lorem imperdiet. Nunc ut sem vitae risus tristique posuere.
Lorem ipsum dolor sit amet, consectetur adipiscing elit. Suspendisse varius enim in eros elementum tristique. Duis cursus, mi quis viverra ornare, eros dolor interdum nulla, ut commodo diam libero vitae erat. Aenean faucibus nibh et justo cursus id rutrum lorem imperdiet. Nunc ut sem vitae risus tristique posuere.
